a woman in a dentist chair

Czy gabinet stomatologiczny oferuje leczenie w jeden dzień?

Zdrowie i uroda

Współczesna stomatologia rozwija się niezwykle dynamicznie, a nowoczesne technologie pozwalają na przeprowadzanie wielu zabiegów w znacznie krótszym czasie niż jeszcze kilkanaście lat temu. Coraz częściej pacjenci pytają, czy możliwe jest leczenie stomatologiczne w jeden dzień – bez wielokrotnych wizyt, długiego oczekiwania i tymczasowych uzupełnień protetycznych. Odpowiedź brzmi: tak, w wielu przypadkach jest to możliwe, jednak wszystko zależy od rodzaju problemu, stanu jamy ustnej oraz zaplecza technologicznego gabinetu.

Na czym polega leczenie stomatologiczne w jeden dzień?

Leczenie w jeden dzień to model terapii, w którym diagnoza, plan leczenia oraz wykonanie właściwego zabiegu odbywają się podczas jednej wizyty lub w ciągu jednego dnia. Jest to możliwe dzięki zastosowaniu zaawansowanych technologii cyfrowych, takich jak skanery wewnątrzustne, tomografia komputerowa CBCT czy systemy CAD/CAM do projektowania i frezowania uzupełnień protetycznych.

W praktyce oznacza to, że pacjent może opuścić gabinet z gotową koroną, licówką, mostem tymczasowym, a w niektórych przypadkach nawet z wszczepionym implantem wraz z natychmiastową odbudową protetyczną.

Jakie zabiegi można wykonać w jeden dzień?

Zakres leczenia możliwego do przeprowadzenia podczas jednej wizyty zależy od wyposażenia gabinetu oraz doświadczenia zespołu medycznego. Najczęściej w trybie jednodniowym realizowane są:

  • leczenie próchnicy i odbudowa zęba materiałem kompozytowym,
  • profesjonalna higienizacja (skaling, piaskowanie, fluoryzacja),
  • wybielanie zębów metodą gabinetową,
  • wykonanie korony protetycznej w technologii CAD/CAM,
  • wszczepienie implantu w procedurze natychmiastowej (w wybranych przypadkach),
  • ekstrakcja zęba wraz z jednoczesną implantacją.

Warto podkreślić, że nie każdy przypadek kwalifikuje się do leczenia w jeden dzień. Ostateczna decyzja podejmowana jest po szczegółowej diagnostyce.

Implant w jeden dzień – czy to możliwe?

Jednym z najczęściej poruszanych tematów jest tzw. implantacja natychmiastowa. Procedura ta polega na usunięciu zęba i wszczepieniu implantu podczas tej samej wizyty. W wybranych sytuacjach możliwe jest również zamocowanie korony tymczasowej jeszcze tego samego dnia.

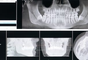
Warunkiem powodzenia takiego leczenia jest odpowiednia ilość i jakość tkanki kostnej oraz brak aktywnego stanu zapalnego. Nowoczesna diagnostyka obrazowa pozwala precyzyjnie zaplanować zabieg i zminimalizować ryzyko powikłań.

Należy jednak pamiętać, że choć pacjent opuszcza gabinet z estetycznym uzupełnieniem, pełna integracja implantu z kością (osteointegracja) trwa zazwyczaj kilka miesięcy.

Korona protetyczna w jeden dzień – technologia CAD/CAM

Jednym z najbardziej spektakularnych osiągnięć nowoczesnej stomatologii jest możliwość wykonania korony w ciągu kilku godzin. Dzięki technologii CAD/CAM lekarz:

Najpierw wykonuje cyfrowy skan jamy ustnej, eliminując konieczność pobierania tradycyjnych wycisków. Następnie projektuje koronę w specjalnym oprogramowaniu komputerowym, dopasowując ją idealnie do warunków zgryzowych pacjenta. Kolejnym etapem jest frezowanie korony z bloczka ceramicznego w gabinecie, po czym następuje jej przymiarka i trwałe osadzenie.

Cały proces odbywa się podczas jednej wizyty, co znacząco zwiększa komfort pacjenta i eliminuje konieczność stosowania uzupełnień tymczasowych.

Czy leczenie w jeden dzień jest bezpieczne?

Bezpieczeństwo terapii zależy nie od czasu jej trwania, lecz od właściwego planowania i kwalifikacji medycznej. Nowoczesne gabinety stomatologiczne opierają swoje działania na dokładnej diagnostyce radiologicznej, cyfrowym planowaniu oraz rygorystycznych procedurach sterylizacji.

Leczenie w jeden dzień jest bezpieczne, jeśli:

  • pacjent został prawidłowo zakwalifikowany do zabiegu,
  • nie występują przeciwwskazania ogólnoustrojowe,
  • gabinet dysponuje odpowiednim sprzętem i doświadczeniem klinicznym.

Warto wybierać placówki, które jasno informują o przebiegu procedury oraz przedstawiają możliwe alternatywy terapeutyczne.

Zalety i ograniczenia leczenia stomatologicznego w jeden dzień

Skrócony czas leczenia niesie ze sobą wiele korzyści, jednak nie jest rozwiązaniem uniwersalnym dla każdego pacjenta.

Zalety:

  • oszczędność czasu,
  • mniejsza liczba wizyt,
  • szybki efekt estetyczny,
  • ograniczenie stresu związanego z leczeniem.

Ograniczenia:

  • nie każdy przypadek kwalifikuje się do takiej terapii,
  • wyższy koszt związany z nowoczesną technologią,
  • konieczność spełnienia określonych warunków anatomicznych i zdrowotnych.

Decyzja o wyborze leczenia powinna być zawsze poprzedzona konsultacją u dentysta Częstochowa.

Kiedy leczenie w jeden dzień nie jest możliwe?

W sytuacjach zaawansowanych stanów zapalnych, znacznych ubytków kostnych, chorób przyzębia czy nieuregulowanych chorób ogólnych (np. cukrzycy) leczenie może wymagać etapowania. Czasami konieczne jest wcześniejsze przygotowanie jamy ustnej, leczenie zachowawcze lub regeneracja kości przed przystąpieniem do właściwego zabiegu. Stomatologia jednodniowa nie zastępuje kompleksowego leczenia – jest jego nowoczesną formą, możliwą do zastosowania w odpowiednich warunkach klinicznych.

Nowoczesna stomatologia – szybciej, ale nadal odpowiedzialnie

Rozwój technologii cyfrowych sprawił, że odpowiedź na pytanie, czy gabinet stomatologiczny oferuje leczenie w jeden dzień, coraz częściej brzmi: tak. Dotyczy to zarówno zabiegów zachowawczych, jak i wybranych procedur protetycznych oraz implantologicznych.

Jednocześnie kluczowe pozostaje indywidualne podejście do pacjenta oraz rzetelna diagnostyka. Leczenie w jeden dzień to rozwiązanie wygodne i skuteczne, ale wymaga odpowiednich wskazań medycznych oraz doświadczenia zespołu stomatologicznego.

Ostatecznie to nie tempo leczenia decyduje o jego jakości, lecz precyzja planowania, zastosowane technologie oraz bezpieczeństwo pacjenta.

Przeczytaj także ➡ https://tekstowo.eu/jak-dlugo-wytrzymuje-odbudowa-zeba-na-wloknie-szklanym/

Podziel się